Seizures Caused By Brain Tumors In Children

Epilepsy Nature Reviews Disease Primers
Periinsular Anterior Quadrantotomy Technical Note In
Curriculum Vitae
Frontiers Current And Emerging Potential Of
Focal Motor Seizures With Secondary Generalization Arising
Epilepsy Profile In Infants With Congenital Zika Virus
Handbook Of Practical Medicine Stroke Pages 101 150 Text
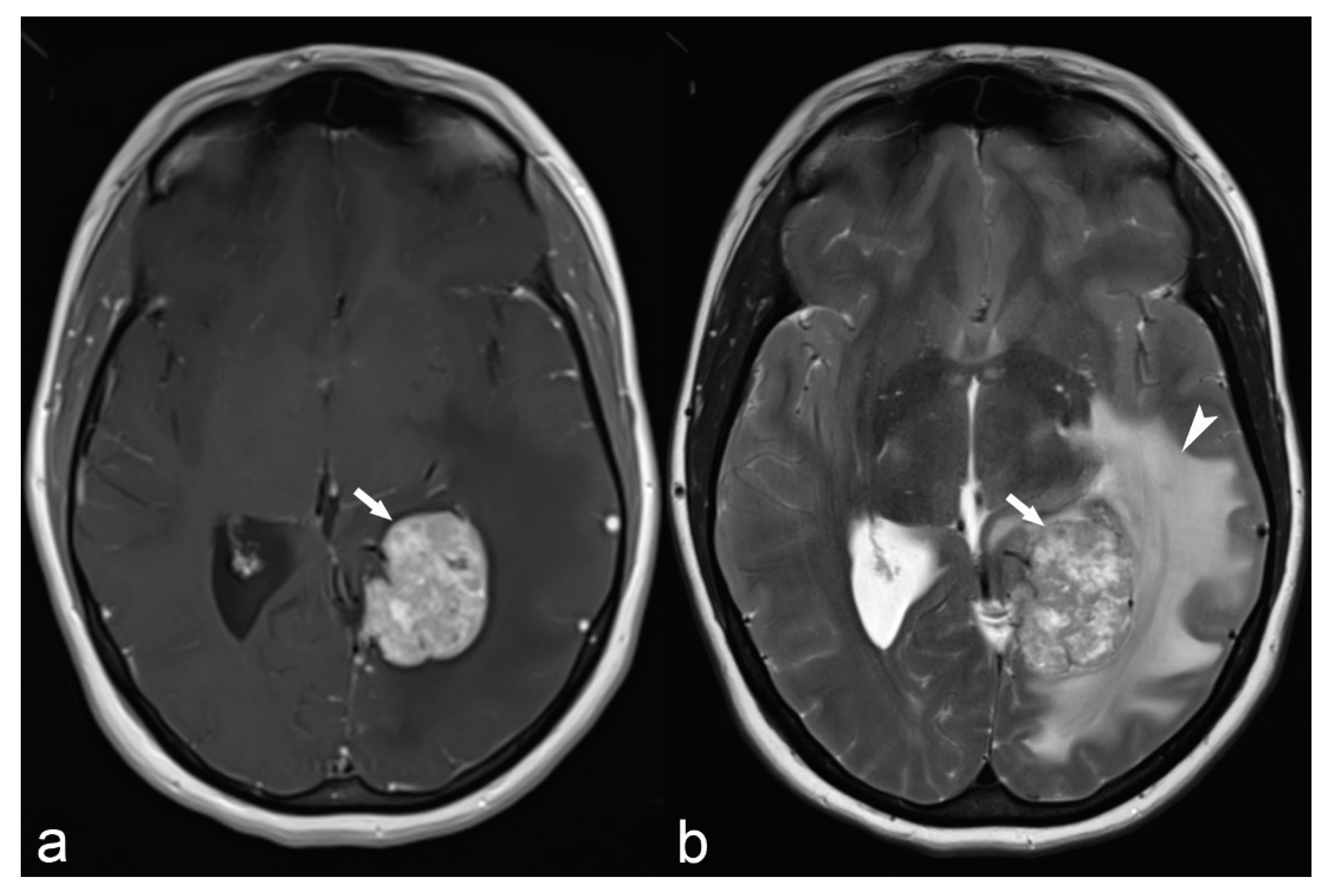
Figure 535 From Focal Epileptogenic Lesions Semantic Scholar
Amazoncom Pediatric Neurology Part I Chapter 53 Focal
Structural Magnetic Resonance Imaging In Epilepsy Springerlink
Focal Epileptogenic Lesions Sciencedirect
Update In Pediatric Neurology Springerlink
Amazoncom Pediatric Neurology Part I Chapter 53 Focal
Children Free Full Text Morphological And Advanced
Predicting The Response To Therapeutic Interventions Part